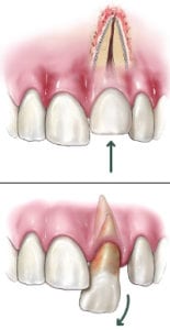
Traumatic Injuries

Injuries to the mouth can cause teeth to be fractured, pushed out of position, or knocked out of their socket. Your dentist or endodontist may be able to reposition and stabilize the tooth, allowing it to heal. After the trauma, you will most likely require close follow up by an endodontist. Our doctor will carefully assess the tooth over the following weeks to determine if your tooth will require further treatment.
Children’s teeth in early development have the ability to recover from trauma without root canal treatment. As for adults, our teeth often require root canal treatment a few weeks after the trauma.